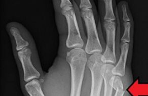
Сээрний яс гараараа цохисноос үүдэн гар, сарвуугаа гэмтээх тохиолдол гарч байна. Энэ асуудалтай холбоотойгоор мэргэжлийн эмч зөвлөмж өгснийг хүргэе. Гэмтэл, согог судлалын үндэсний төвийн Гар сарвуу нөхөн сэргээх бичил...
Эрүүл мэнд
Эрүүл мэнд
Эрүүл мэндийн сайд С.Чинзориг томуугийн үед хүүхдийн орны ачааллыг зохицуулах тушаал гаргав
Нийслэлийн хэмжээнд томуу, томуу төст өвчний үеийн хэвтүүлэн эмчлэх орны ачаалал нэмэгдэж буйтай холбоотойгоор Эрүүл мэндийн сайд С.Чинзориг тушаал гаргаж ирэх гуравдугаар сарын 1-нийг хүртэл зарим дүүргийн эмнэлгийн насанд...
Эрүүл мэндийн яамнаас оношийн дөрвөн бүлгийн зургаан өвчнийг оношлох, эмчлэх технологийг УНТЭ, ХСҮТ, ЭХЭМҮТ-д нэвтрүүлж нутагшуулах шатандаа явж байна. Үүнд цусны үүдэл эс, ясны чөмгийг донороос өвчтөнд шилжүүлэн суулгах...
Монгол улсын хүн амын нас баралтын тэргүүлэх шалтгаанд зүрх судасны өвчлөл сүүлийн 10 гаруй жил тэргүүлсээр байна. Уг үзүүлэлтийг бууруулахын тулд судсан дотуурх оношилгоо эмчилгээ буюу ангиографийн тусламж, үйлчилгээний...
Эрүүл мэнд
ОНЦЛОХ 2022: “Новартис аксесс” хөтөлбөрийн хүрээнд 19 төрлийн эмийг 1$ -оор худалдан авч, иргэдэд ЭМД-ын сангаас 100 хувь хөнгөлөн олгож эхэллээ
Эрүүл мэндийн яамнаас 2022 онд хийж хэрэгжүүлсэн “ОНЦЛОХ 10” ажлыг цувралаар танилцуулж байна. 2022 онд эхлүүлсэн нэг чухал ажил бол “Новартис аксесс” хөтөлбөрийг эхлүүлж, нэн шаардлагатай байгаа эмийн жагсаалтад орсон зүрх судас, чихрийн шижин, уушгины эмгэг...
Энхийг сахиулагч хумхаа өвчний халдвар авсантай холбоотой асуудлаар Батлан хамгаалахын Ерөнхий хянан шалгагч бригадын генерал Ж.Болдбаатар нарын албаныхан тайлбар хийлээ. Тодруулбал, “Манай есөн албан хаагч маларигаар оношлогдсоноос долоо нь...
Өнөөдөр буюу нэгдүгээр сарын 05-нд Улаанбаатар хотод суурин 40 цэгт 40 багийн 155 эмч, ажилтан ажиллаж иргэдийг дархлаажуулна. Та өөрт ойр вакцины аль ч цэгт очиж коронавирусийн эсрэг вакцин...
Улсын хэмжээнд урьдчилан сэргийлэх, эрт илрүүлэг үзлэг шинжилгээнд 800 гаруй мянган хүнийг хамруулжээ. Дэлхийн улс орнуудад эрт илрүүлэг үзлэг шинжилгээнд хамгийн ихдээ иргэдийнхээ 30-35 хувийг хамруулдаг байна. Харин манай...
Урьдчилан сэргийлэх, эрт илрүүлэх үзлэгийн “Хүүхдийн багц-2” буюу 6-17 насанд дараах 8 төрлийн үзлэг, оношилгоо багтана. Уг багцыг үзлэг, шинжилгээг товлолын дагуу зөвхөн Өрх, сум, тосгоны эрүүл мэндийн төвд...
Эрүүл мэндийн даатгалын Үндэсний зөвлөлийн 2022 оны 01 дүгээр тогтоолоор салхин цэцэг өвчний эмийн эмчилгээ 435 мянга бөгөөд Эрүүл мэндийн даатгалын сангаас 100 хувь санхүүжүүлдэг. 2022 оны эхний 10...